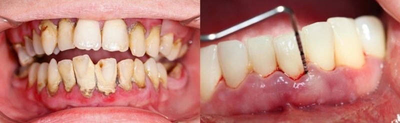
Viêm nướu và viêm nha chu – khác nhau thế nào?
Viêm nướu và viêm nha chu đều là bệnh lý nướu, nhưng mức độ và hậu quả hoàn toàn khác nhau.
1. Viêm nướu là gì?

- Là tình trạng viêm nhẹ ở nướu
- Dấu hiệu: nướu đỏ, sưng, dễ chảy máu khi đánh răng
- Chưa ảnh hưởng đến xương
- Có thể điều trị và hồi phục hoàn toàn
2. Viêm nha chu là gì?

- Là giai đoạn nặng hơn, viêm lan xuống xương và mô nâng đỡ răng
- Dấu hiệu: nướu tụt, răng lung lay, có mủ, hôi miệng
- Gây tiêu xương, mất răng nếu không điều trị
3. Điểm khác nhau quan trọng
- Viêm nướu: nhẹ – hồi phục được
- Viêm nha chu: nặng – có thể mất răng
4. Kết luận
Viêm nướu nếu không điều trị sớm có thể tiến triển thành viêm nha chu.
👉 Nha khoa Tường Minh khuyến khích khám răng định kỳ để phát hiện sớm và điều trị kịp thời.
Nha Khoa Tường Minh
Địa chỉ: 18 Lê Văn Vị, Cái Vồn, Bình Minh
Điện thoại: 02703 741 190 – 0932 801 829
Email: nhakhoatuongminh01@gmail.com
Website: nhakhoatuongminh.com
Facebook: https://www.facebook.com/nhakhoatuongminh/
Tiktok: https://www.tiktok.com/@nhakhoatuongminh
Youtube: https://www.youtube.com/@nhakhoatuongminh
Tìm hiểu thêm về: Răng sứ thẩm mỹ là gì? Khi nào nên làm?, Niềng răng trong suốt – So sánh ưu nhược điểm, Dấu hiệu Implant gặp vấn đề cần đi khám ngay

