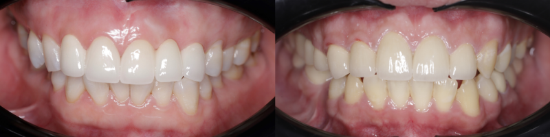
Răng sứ thẩm mỹ là gì? Khi nào nên làm?
Răng sứ thẩm mỹ là phương pháp phục hình bằng cách bọc một lớp sứ bên ngoài răng thật nhằm cải thiện màu sắc, hình dáng và chức năng ăn nhai.
1. Răng sứ thẩm mỹ là gì?

Răng sứ được thiết kế riêng cho từng răng, có màu sắc và hình dáng giống răng thật, giúp nụ cười đều đẹp và tự nhiên hơn.
2. Khi nào nên làm răng sứ?

- Răng xỉn màu nặng, không tẩy trắng được
- Răng mẻ lớn, hư nhiều
- Răng thưa, hình thể xấu
- Răng đã điều trị tủy cần phục hồi chắc chắn
3. Kết luận
Răng sứ thẩm mỹ là giải pháp giúp cải thiện nụ cười nhanh và rõ rệt, nhưng cần đúng chỉ định để đảm bảo bền lâu.
👉 Tại Nha khoa Tường Minh, mỗi ca răng sứ đều được tư vấn kỹ để vừa đẹp vừa bảo tồn răng thật tối đa.
Nha Khoa Tường Minh
Địa chỉ: 18 Lê Văn Vị, Cái Vồn, Bình Minh
Điện thoại: 02703 741 190 – 0932 801 829
Email: nhakhoatuongminh01@gmail.com
Website: nhakhoatuongminh.com
Facebook: https://www.facebook.com/nhakhoatuongminh/
Tiktok: https://www.tiktok.com/@nhakhoatuongminh
Youtube: https://www.youtube.com/@nhakhoatuongminh
Tìm hiểu thêm về: Niềng răng trong suốt – So sánh ưu nhược điểm, Dấu hiệu Implant gặp vấn đề cần đi khám ngay, Vì sao răng bị ố vàng dù vệ sinh sạch sẽ?

