Răng sữa có sâu có cần điều trị không?

Nhiều phụ huynh nghĩ răng sữa rồi cũng thay nên không cần chữa. Tuy nhiên, sâu răng sữa nếu không điều trị có thể gây đau, nhiễm trùng và ảnh hưởng đến răng vĩnh viễn của trẻ.
1. Vì sao phải điều trị răng sữa sâu?

-
Tránh đau nhức, viêm tủy, áp-xe, làm trẻ biếng ăn, khó ngủ.
-
Giữ chỗ cho răng vĩnh viễn mọc đúng vị trí, tránh lệch lạc sau này.
-
Ngăn sâu lan xuống mầm răng vĩnh viễn, gây đổi màu hoặc khiếm khuyết răng mới.
-
Giúp trẻ ăn uống tốt, phát triển khỏe mạnh và tự tin khi cười.
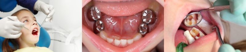
2. Điều trị răng sữa gồm những gì?

-
Trám răng nếu sâu nhẹ.
-
Che chở răng bằng mão thép (SSC) nếu sâu lớn.
-
Điều trị tủy khi sâu lan đến tủy gây đau nhói.
Nha Khoa Tường Minh
Địa chỉ: 18 Lê Văn Vị, Cái Vồn, Bình Minh
Điện thoại: 02703 741 190 – 0932 801 829
Email: nhakhoatuongminh01@gmail.com
Website: nhakhoatuongminh.com
Facebook: https://www.facebook.com/nhakhoatuongminh/
Tiktok: https://www.tiktok.com/@nhakhoatuongminh
Youtube: https://www.youtube.com/@nhakhoatuongminh
Tìm hiểu thêm về: Sau khi bọc răng sứ cần kiêng gì và chăm sóc ra sao?, Implant All-on-6 – Giải pháp phục hồi toàn hàm, Quá trình niềng răng khay trong suốt diễn ra như thế nào? Từ A đến Z

