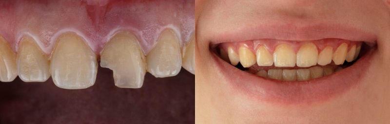
Có nên trám răng thẩm mỹ thay vì làm sứ?
Trám răng và bọc răng sứ đều giúp cải thiện thẩm mỹ, nhưng phù hợp với từng tình trạng khác nhau.
1. Khi nào nên trám răng?

- Răng mẻ nhỏ, sâu nhẹ
- Răng thưa nhẹ
- Muốn ít mài răng, chi phí thấp
2. Khi nào nên làm răng sứ?

- Răng mẻ lớn, hư nhiều
- Răng xỉn màu nặng, hình thể xấu
- Cần thẩm mỹ và độ bền lâu dài
3. Kết luận
Trám răng phù hợp trường hợp nhẹ, còn răng sứ phù hợp khi cần phục hồi toàn diện.
👉 Nên thăm khám tại Nha khoa Tường Minh để chọn phương án phù hợp nhất.
Nha Khoa Tường Minh
Địa chỉ: 18 Lê Văn Vị, Cái Vồn, Bình Minh
Điện thoại: 02703 741 190 – 0932 801 829
Email: nhakhoatuongminh01@gmail.com
Website: nhakhoatuongminh.com
Facebook: https://www.facebook.com/nhakhoatuongminh/
Tiktok: https://www.tiktok.com/@nhakhoatuongminh
Youtube: https://www.youtube.com/@nhakhoatuongminh
Tìm hiểu thêm về: So sánh Implant và cầu răng sứ – Nên chọn phương pháp nào?, Vì sao nên cấy Implant riêng cho răng số 6 và 7?, Cách chăm sóc răng sau khi điều trị ICON đốm trắng,

