Bị viêm lợi khi mang thai phải làm sao?

Trong thai kỳ, thay đổi hormone khiến nướu dễ sưng, chảy máu – gọi là viêm lợi thai kỳ. Dù phổ biến, tình trạng này không nên xem nhẹ, vì có thể ảnh hưởng đến sức khỏe của mẹ và bé.
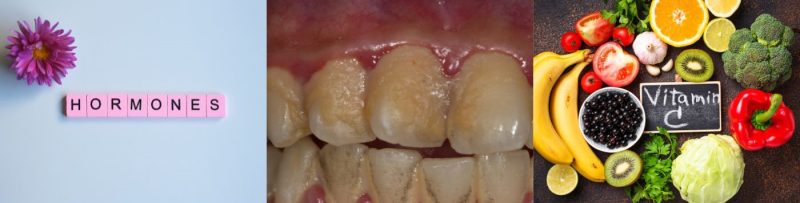
1. Nguyên nhân thường gặp

-
Thay đổi hormone làm nướu nhạy cảm hơn.
-
Mảng bám và cao răng tích tụ do vệ sinh khó khăn.
-
Thiếu vitamin C hoặc canxi trong chế độ ăn.
2. Cách xử lý an toàn

-
Đánh răng 2 lần/ngày với bàn chải mềm và kem có fluoride.
-
Dùng chỉ nha khoa hoặc tăm nước để làm sạch kẽ răng.
-
Súc miệng nước muối loãng hoặc dung dịch dành cho phụ nữ mang thai.
-
Ăn uống đủ vitamin, uống nhiều nước.
-
Khám nha sĩ định kỳ, lấy cao răng nhẹ nhàng nếu cần.
Nha Khoa Tường Minh
Địa chỉ: 18 Lê Văn Vị, Cái Vồn, Bình Minh
Điện thoại: 02703 741 190 – 0932 801 829
Email: nhakhoatuongminh01@gmail.com
Website: nhakhoatuongminh.com
Facebook: https://www.facebook.com/nhakhoatuongminh/
Tiktok: https://www.tiktok.com/@nhakhoatuongminh
Youtube: https://www.youtube.com/@nhakhoatuongminh
Tìm hiểu thêm về: Cách xử lý khi răng ê buốt, Bọc răng sứ có phải mài răng nhiều không? Có ảnh hưởng đến răng thật không?, Độ bền của Implant – Có thể dùng suốt đời không?

